TRI® 2in1 Impression Abutment
Step by Step Documentation
TRI® 2in1 Impression Abutment Clinical Case Step by Step Documentation presented
by Andreas van Orten, MSC (Waldrop, Germany)

Play
TRI® Narrow
Clinical Case
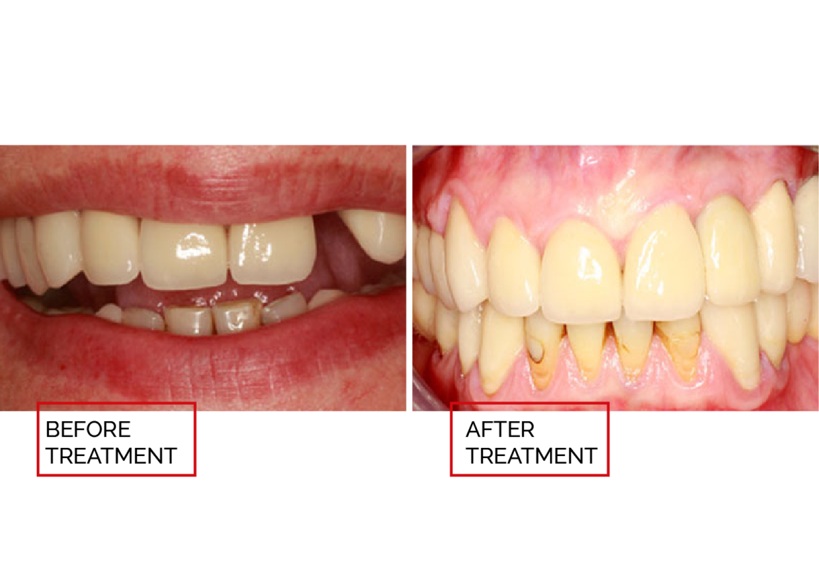
TRI®-Narrow ø 3.3mm + 11.5mmL Clinical Case presented by Dr. Thabit Peck (South Africa)

Play


































